Se connecter
Logo MesOpinions.com
Accueil Pétitions Victoires Logo Mobilisation pour la Cause Animale Blog Nous soutenir Lancer une pétition
Accueil Pétitions Pétitions santé Stoppons immédiatement l'utilisation du Mercure dentaire qui est néfaste à notre santé et à notre environnement
Pétition

Stoppons immédiatement l'utilisation du Mercure dentaire qui est néfaste à notre santé et à notre environnement

Stoppons immédiatement l'utilisation du Mercure dentaire qui est néfaste à notre santé  et à notre environnement Pétition
707 signatures
Avec 293 signatures de plus, cette pétition sera plus facilement recommandée à des signataires engagés.
Auteur :
Auteur(s) :
Antimercurien
Destinataire(s) :
Madame la ministre Marisol Touraine,ministre des affaires sociales et de la santé
La pétition
S'il vous plait,madame,messieurs,

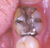
Stoppons l'utilisation du mercure dentaire nuisible a notre santé et notre environnement...

Au Japon, les amalgames dentaires au mercure ont été abandonnés depuis trente ans.

En Russie, ils ont été interdits en 1985, au vu de centaines d’études sur les dangers des plombages au mercure.

La Norvège condamne l’usage du mercure dans toutes ses applications et il y est interdit d’obturer les caries avec des amalgames.

En Suède, on ne pose plus d’amalgames depuis 1999.

En Allemagne, la pose d’amalgames dentaires n’est même plus enseignée aux étudiants dans les facultés dentaires.

En Californie, les cabinets dentaires qui utilisent l’amalgame dentaire doivent arborer un panneau bien visible avec l’inscription suivante :

« Attention, ce cabinet pose des obturations à l’amalgame. L’amalgame contient du mercure. Les patients traités avec ce matériau d’obturation s’exposent à cette substance chimique toxique. L’Etat de Californie a connaissance du fait que le mercure peut provoquer des déformations à la naissance et d’autres troubles de la reproduction. »
Et en France…

En France, on continue à poser des amalgames comme si de rien n’était à des millions de personnes qui ne se doutent de rien.

Il est reconnu que le mercure :

est libéré par les amalgames puis s’accumule peu à peu dans les organes (cerveau, reins...),
traverse le placenta et imprègne les organes du fœtus puis du nourrisson,
contamine le lait maternel.


Les porteurs de nombreux amalgames ont en moyenne 10 fois plus de mercure dans leur cerveau que ceux qui en portent peu (Guzzi, 2006).

De nombreuses études permettent de suspecter un lien entre l’emploi de l’amalgame et des maladies chroniques dans les pays utilisateurs (maladies neurodégénératives, maladies autoimmunes…).

merci pour vos votes et votre soutien

cordialement
707 signatures
Signez avec votre email
Avec 293 signatures de plus, cette pétition sera plus facilement recommandée à des signataires engagés.
Veuillez sélectionner une option

Vous êtes sûr ? Votre mobilisation est importante pour que les pétitions atteignent la victoire !
Sachez que vous pouvez vous désinscrire dès que vous le souhaitez.

Merci pour votre mobilisation
Vous avez déjà signé cette pétition
Aidez l'auteur à atteindre la victoire :
Je n'ai pas signé cette pétition et je veux le faire
Ajouter un commentaire
En signant la pétition, j'accepte que MesOpinions traite mes données à des fins de gestion de signatures et des commentaires. Pour en savoir plus, sur ces traitements et sur mes droits, je consulte les conditions d'utilisation.
Partagez la pétition avec vos amis :

Lancer votre propre pétition

La personne ayant lancé cette pétition a décidé d'agir pour la cause qui la concernait.
En ferez-vous de même ?
Je lance ma pétition
40 commentaires
Valérie - Le 01/02/2015 à 21:28:22
Il est inacceptable que le mercure soit encore autorisé en France, alors que ses méfaits sont prouvés et que des alternatives existent!
1 0
Irène - Le 12/01/2013 à 17:52:12
Une pétition intéressante que je signe car cela fait bien longtemps que nous sommes au courant et comme d'habitude, en France en matière de santé le courant ne passe pas. Trop d'intérêts encore en jeu et/ou une population malade rapporte-t-elle plus à l’État qu'une population en bonne santé ?
0 0
David - Le 13/01/2013 à 03:49:44
Merci de nous informer… La santé passe avant le pognon bon sang !
0 0
Voir tous les commentaires
- Pétitions -

Les pétitions soutenues par d'autres utilisateurs

Accueil Pétitions Pétitions santé Stoppons immédiatement l'utilisation du Mercure dentaire qui est néfaste à notre santé et à notre environnement